Shoulder Replacement for Treatment of Glenohumeral Arthritis in Younger Patients

Because younger patients are more likely to experience implant failure in their lifetimes, the focus of alternative surgical options has been to preserve bone and use humeral implants.

Shoulder replacement has been a treatment option for patients with shoulder arthritis since the 1950s. Decades of development have made shoulder replacement a very successful treatment option today, with studies showing great clinical improvements in patients of all ages with shoulder arthritis. Total shoulder replacement surgery is now considered the gold standard.

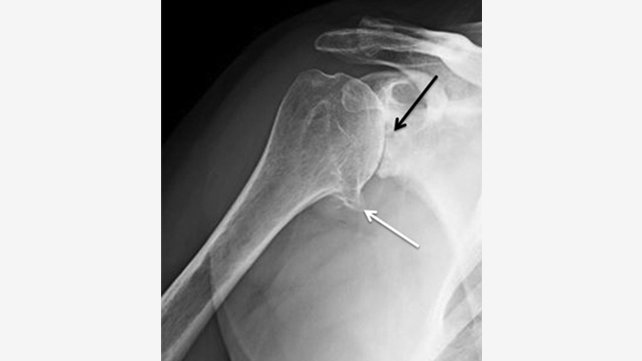
Shoulder x-ray

X-Rays

X-rays are necessary for diagnostic purposes and surgical planning.

Shoulder x-ray showing loss of joint space (black arrow) and arthritic spurring (white arrow).

CT imaging

CT Imaging

CT imaging is used to further define bony and soft tissue anatomy.

X-rays of a 43-year-old, active man with shoulder arthritis who was treated with humeral head resurfacing.

 The goals of arthroplasty (the surgical procedure that restores joint function) are pain relief and improved shoulder strength and motion. Younger patients, however, typically expect to return to greater levels of activity after surgery, including physical work, recreation and sports, which could result in increased stress and wear on prosthetic implants. Patient expectations are a very important consideration when choosing among shoulder replacement options.

Long-term studies have shown evidence of implant loosening and deterioration of function after anatomic total shoulder replacement in younger patients. Because these patients are more likely to experience implant failure in their lifetimes, the focus of alternative surgical options has been to preserve bone, to use humeral implants that can later be revised if necessary, and to limit the use of glenoid replacement.

Precise Diagnosis Determines Best Treatment Plan

While older patients treated with shoulder arthroplasty usually have a diagnosis of primary glenohumeral osteoarthritis or severe rotator cuff tears, younger patients present with a greater variety of other shoulder problems, including primary osteoarthritis, post-injury arthritis, capsulorraphy arthropathy, inflammatory arthritis, avascular necrosis, chondrolysis, and glenoid dysplasia. The surgeon will determine the best treatment option for the specific cause of glenohumeral arthritis.

Before shoulder arthroplasty is considered, a younger patient will be treated with conservative options. These treatments can be effective and may include physical therapy, anti-inflammatory medications, and shoulder injections, in addition to modifying patient activities. If these treatments are not successful, shoulder arthroplasty is considered.

What to Expect

When you are being examined for shoulder impairment, your physician will perform a thorough physical evaluation and thoroughly review your medical history, including previous operative reports, imaging studies and injury records.

To guide the decision-making process and determine the best treatment plan, your physician will take into consideration your health status, as well as your expectations, functional goals, and psychological and social concerns.

During the examination of your shoulder, your physician will assess shoulder joint stability, limitation of motion, and shoulder strength, including rotator cuff strength. X-rays are necessary for diagnostic purposes and surgical planning and CT imaging is used to further define bony and soft tissue anatomy.

Partial Shoulder Replacement (Humeral Arthroplasty Without Glenoid Treatment)

Although uncommon, some patients have arthritis that only involves the humeral part (ball) of the shoulder joint. These patients can be treated with humeral head replacement or humeral resurfacing. (See figure 5.) Humeral head replacement could entail full resurfacing, partial resurfacing, stemless humeral head replacement, or stemmed humeral head replacement:

  • Humeral head resurfacing removes the arthritic humeral surface and covers it with a metallic cap. This procedure preserves bone, allowing for possible revision surgery in the future.
  • Partial humeral head resurfacing is used to treat smaller specific cartilage defects, thereby preserving good cartilage. The implant replaces only the area where the defect in the humeral head is present.
  • Stemless humeral head replacement is a newer technology that involves replacement of the top of the humerus with an implant. Stemless humeral heads have had good early results in Europe, but are not fully approved in the United States.
  • Stemmed humeral head replacements are much more commonly used and more extensively studied than humeral head resurfacing and stemless humeral head replacements.
X-rays of pre- and post-operative humeral resurfacing

Pre- and Post-Operative Resurfacing

(Fig. 5) X-rays of an active, 40-year-old man with shoulder arthritis who was treated with humeral head resurfacing.

Humeral Arthroplasty with Glenoid Treatment

Due to concern about the longevity of shoulder replacement in younger patients, glenoid treatments that avoid use of an implant have been developed. The goal of these techniques is to restore a smooth surface to the glenoid (socket) on which the humeral head moves.

Humeral head replacement with glenoid reaming arthroplasty (ream and run) was developed as an alternative glenoid treatment that eliminates the risk of implant loosening. In this procedure, the glenoid bone is reamed in order to restore a smooth surface, allowing for more motion and less pain. (See figure 6.) Excellent results have been reported that show significant improvement in function and pain in patients younger than age 55.

Humeral Arthroplasty with Glenoid Treatment

Humeral Arthroplasty with Glenoid Treatment

(Fig. 6) X-rays of a 52-year-old, active male after humeral head replacement and glenoid reaming arthroplasty.

Total Shoulder Arthroplasty

Total shoulder arthroplasty has predictable results with pain relief, range of motion and functional restoration. (See figure 8.) The recovery is somewhat easier than humeral head replacement with glenoid reaming, with less post operative pain and faster recovery of strength and function. However, there is more risk of late loosening of the glenoid especially in younger and physically active patients.

Total shoulder arthoplasty
(Fig. 8) Post-operative x-rays of a 57-year-old male with advanced osteoarthritis.

Conclusion

Several treatment options exist for shoulder arthritis in younger patients and one solution does not fit all patients. Early management should begin with non-operative treatment including oral medications, injections, physical therapy, and activity modification. Arthroscopic surgery has a limited role in patients with milder arthritis but is not effective in cases of more severe arthritis. Total shoulder arthroplasty has proven effective and reliable, but concerns over implant longevity are an important factor in considering its use in younger and physically active patients.

Humeral resurfacing and humeral head replacement are options for some younger, highly active patients, and humeral head replacement with glenoid reaming arthroplasty is a good option for highly active patients with glenoid arthritis.